[초록] 경남지역 양돈장의 돼지증식성회장염 감염률에 대한 연구
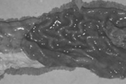
'돼지 증식성 장염(PPE)'은 Lawsonia intracellularis에 의해 유발되는 전염성 위장관 질환이다. 임상적으로 PPE는 성장기 돼지에서 출혈성 설사를 유발하며 때로는 폐사에 이르게 한다. 하지만, 질병이 만성 단계로 진행되면 감염된 돼지는 더 이상 뚜렷한 증상을 보이지 않는다. 본 연구의 목적은 경남 지역 돼지 사육장과 도축장에서 L. intracellularis의 존재 여부를 확인하기 위함이었다. 돼지 증식성 장염에 대한 조사는 중합효소연쇄반응(PCR) 검사법을 사용하여 총 1,495개 표본을 대상으로 실시하였다. PCR 산물은 분변 및 점막 스크래핑 검체에서 210bp, 329bp 위치에 특이적인 밴드를 나타냈다. 임상적으로 문제가 되었던 농가에서 분변을 채취하여 45농가 420건을 PCR법으로 검사한 결과 농가별 양성농가는 26농가가 감염되어 57.8%의 감염률을 보였다. 검사 건수별로는 420개의 분변 검체 중 113개(26.9%)가 PPE 양성으로 확인되었다. 1,075개의 점막 스크래핑 검체 중 109개(10.1%)가 PPE 양성으로 확인되었다. 총 1,495개 검체 중 222개(14.8%)가 PPE 양성으로 확인되었다. [논문